!!!  Am 03. April 2006 waren wir beim schallen !!!

Es freut mich sehr mitteilen zu können das unsere Thani guter Hoffnungen ist.

Heute Vormittag waren wir bei unserer Tierärztin zum Ultraschallen. Wir haben muntere kleine Kerlchen entdecken können. Es war fast wie Ostern um eine Woche vorverlegt. Der Schallkopf hat gesucht und auch viele Früchte gefunden einige ganz offensichtlich, andere fein säuberlich versteckt. Thani war jedoch recht unruhig und konnte die lange Untersuchung nicht ruhig ausharren. Sie stand allerdings auch mit dem Hinterteil zum Ultraschallgerät und versuchte neugierig zu gucken was sich da hinter ihrem Rücken abspielte. Sie wollte sich die ganze Zeit umdrehen um besser gucken zu können. J Dennoch hat es gereicht um von manchen die kleinen Herzchen schlagen zu sehen.

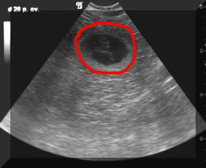
Hier ein paar von den Ultraschallbildern. Die mit rot umrandete Fläche ist ein h in seiner Hülle.

..... eins, zwei, drei ...... ganz viele......